Практичный выбор: как подобрать идеальную стиральную машину для дома
Стиральная машина давно перестала быть роскошью — сегодня это незаменимый помощник в каждом доме. Она экономит время, силы и воду,...
Современные технологии у вас дома: как выбрать телевизор
Телевизор давно перестал быть просто источником новостей или развлекательных передач. Сегодня это центр домашнего медиа-пространства,...
Умный выбор: покупка бытовой техники Indesit в специализированном магазине
Выбор бытовой техники — это важное решение для любого дома. Качественная и надежная техника экономит время, обеспечивает комфорт и долгие...
Как выбрать посудомоечную машину для дома: практическое руководство
Посудомоечная машина давно перестала быть роскошью. Сегодня это незаменимый помощник на кухне, который экономит время и силы, обеспечивает...
Новые горизонты в образовании: переподготовка на учителя биологии на базе высшего образования
Почему стоит выбрать профессию учителя биологии В современном мире профессия учителя приобретает особую ценность. В обществе растет...
Уют и стиль в одном пространстве: какую мебель выбрать для гостиной
Гостиная — это сердце любого дома, место, где собирается семья, встречают гостей, проводят вечера за разговорами и отдыхом. От того, какая...
Цветы с любовью: как доставка букетов делает мир добрее
Цветы во все времена были символом внимания, заботы и искренних чувств. Они способны выразить то, что порой трудно сказать словами. Благодаря...
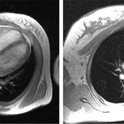
МРТ сердца с контрастированием для диагностики заболеваний и здоровья
Магнитно-резонансная томография сердца: ключ к пониманию здоровья Магнитно-резонансная томография (МРТ) сердца с контрастированием — это...
Искусство пригласить с душой: как создать идеальное приглашение на юбилей
Юбилей — это не просто дата, а событие, которое хочется запомнить надолго. Каждому из нас приятно ощущать внимание, заботу и радость близких...
Элайнеры — современное решение для красивой улыбки: кому они подходят и почему их выбирают
Красивая улыбка — это не только эстетика, но и уверенность в себе. Ровные зубы делают лицо гармоничным, улучшают дикцию и способствуют...


