Магнитно-резонансная томография сердца: ключ к пониманию здоровья

Магнитно-резонансная томография (МРТ) сердца с контрастированием — это высокотехнологичный метод диагностики, который на сегодняшний день играет важную роль в медицинской практике. Данная процедура позволяет врачам получить подробные изображения сердечной мышцы и сосудов, что необходимо для выявления различных заболеваний мамы, таких как ишемическая болезнь, миокардит и врожденные аномалии. За счет использования контрастных веществ, МРТ обеспечивает более четкое изображение, что существенно облегчает диагностику и выбор дальнейшей тактики лечения.

Как проходит исследование МРТ сердца

Подготовка к МРТ сердца включает несколько этапов. На первом из них пациенту может понадобиться отказаться от пищи и жидкости на несколько часов перед обследованием. Важно сообщить врачу о наличии аллергий, особенно на контрастные вещества, поскольку это может повлиять на безопасность процедуры. После завершения подготовительного этапа пациента укладывают на специальный стол сканера, который помещается в магнитное поле. Пациент остается неподвижным, поскольку любые движения могут привести к смазанным изображениям. Исследование обычно занимает от 30 минут до часа, в зависимости от количества получаемых изображений.

Зачем нужна МРТ сердца с контрастированием

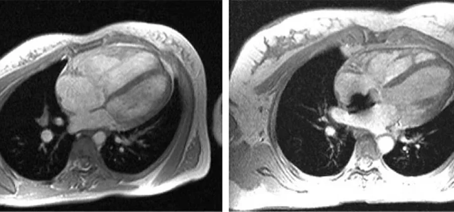
МРТ сердца позволяет врачу оценить не только анатомические особенности, но и функциональные параметры органа. Исследование с контрастированием помогает выявить ишемические участки миокарда, почувствовать уровень perfusion (кровоснабжения) различных областей сердца. Также оно может быть полезно в диагностике кардиомиопатий и опухолей сердца. Используемый контраст позволяет более отчетливо визуализировать сосуды и их патологии, включая стенозы и аневризмы. Такое детальное исследование значительно повышает шанс своевременного выявления возможных отклонений и, следовательно, раннего начала лечения.

Что делать после процедуры

После завершения МРТ сердца с контрастированием пациенту не требуется особых мер. Обычно он может вернуться к привычному образу жизни. Однако, если были введены контрастные вещества, рекомендуется пить много жидкости, чтобы помочь организму быстрее вывести их. В некоторых случаях может требоваться наблюдение врача в течение нескольких часов после исследования, особенно если у пациента были выявлены изменения, требующие дальнейшего изучения. Если возникают какие-либо неожиданные симптомы, такие как тошнота или зуд, необходимо немедленно обратиться к врачу.

Преимущества МРТ для диагностики заболеваний сердца

  • Неинвазивность процедуры: МРТ не требует хирургического вмешательства.
  • Отсутствие воздействия рентгеновского излучения.
  • Высокое качество изображений, обеспечивающее точность диагностики.
  • Способность визуализировать мягкие ткани и их патологические изменения.
  • Контрастирование для детального изучения сосудов и миокарда.

Магнитно-резонансная томография получает все большее признание среди медицинского сообщества благодаря своей способности выявлять заболевания на ранних стадиях, когда лечение наиболее эффективно. Более подробную информацию о МРТ сердца с контрастированием можно найти на нашем сайте: https://eurodicenter.ru/uslugi/magnitno-rezonansnaya-tomografiya/magnitno-rezonansnaya-tomografiya-vnutrennih-organov/magnitno-rezonansnaya-tomografiya-serdca. Важно подчеркнуть, что ранняя диагностика и профессиональный подход к лечению могут спасти жизнь, поэтому стоит серьёзно относиться к своим симптомам и не откладывать обследование.